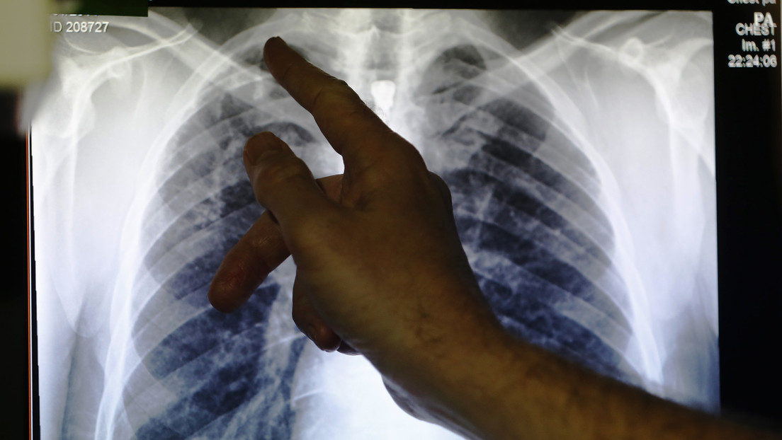
La crisis sanitaria derivada de la pandemia del coronavirus dificulta la detección y el tratamiento de la tuberculosis, alertó este miércoles la Organización Mundial de la Salud (OMS), al tiempo que advirtió que los casos de tuberculosis podrían aumentar a menos que se tomen medidas urgentes.
La contención de la propagación del covid-19 es en estos momentos la máxima prioridad sanitaria a nivel mundial, lo que repercute negativamente a las naciones más azotadas por la tuberculosis, señaló la organización mundial en su informe anual sobre la tuberculosis.
Países como la India y Sudáfrica han visto cómo los recursos que generalmente se asignan a la detección y tratamiento de esta enfermedad ahora se desvían a la lucha contra la pandemia del coronavirus.
Según datos de la OMS, en 2019 esta enfermedad se cobró la vida de aproximadamente 1,4 millones de personas, cifra casi idéntica a los 1,5 millones de casos letales registrados en 2018. La reasignación de recursos y de personal médico para combatir el coronavirus podría traducirse en un resurgimiento de la tuberculosis en algunos países.
Se estima que este año esta enfermedad podría causar entre 200.000 y 400.000 muertes más que en 2019, que se saldó con 1,4 millones de casos mortales, recoge AFP.


COMENTARIOS